Brian Castle
Synapses


Synapses modify the neuronal membrane potential. The strength and time course of synaptic influence, together with the internal membrane properties of the neuron, ultimately determine the "spike times" of action potentials. Some neurons don't use action potentials, instead they transmit graded responses along their membranes, but these neurons can still be influenced synaptically. The word "synapse" in a general sense is meant to include all forms of local connectivity, for example gap junctions, but historically it refers specifically to a vesicular form of transmission.


Vesicular Transmission

The classic synapse is unidirectional, from an axon terminal to the dendrite of another neuron. The presynaptic axon terminal is filled with vesicles containing neurotransmitter, which diffuse across the synaptic cleft to interact with receptors on the postsynaptic side. Synapses can be made anywhere, on the dendrites, on the cell body, even on other axons. There are many specialized kinds of synapses in a human brain, for instance the glomeruli in the cerebellum. The first figure below stylizes an oversimplified "typical" synapse, showing the release of neurotransmitter from synaptic vesicles. The second figure shows the fusion of transmitter-loaded vesicles with the axon terminal, and the expulsion of neurotransmitter into the synaptic cleft. Fusion of vesicles with the presynaptic membrane depends on calcium, which enters the axon terminal during an action potential. When calcium enters the synapse, it causes the vesicles to fuse with the presynaptic membrane, releasing their contents into the synaptic cleft, which is a tiny gap between the pre- and post-synaptic membranes maintained by specific protein scaffolding. After release from the vesicles, the neurotransmitter diffuses across the cleft and binds with receptors on the postsynaptic side. After it's done binding, it can be either degraded or recycled (and either process may involve active reuptake, into neurons and/or glial cells - the reuptake is accomplished by specialized proteins called "transporters").






Neurotransmitter filled vesicles are synthesized and packaged in the cell body, and transmitted down the axon to the synaptic terminals by a network of microtubules related to the cytoskeleton. This process is regulated, it can be sped up or slowed down according to demand. There is both anterograde transport and retrograde transport, used vesicles are transported back to the cell body where they can be refilled. In conditions of changing demand, the quantal transmission hypothesis specifies that the amount of neurotransmitter per vesicle remains relatively constant, but the number of available vesicles can change. In the figure below MTOC is a microtubule organizing center.




The totality of the synapses emanating from a neuron may be quite diverse. Some neurons use more than one transmitter. The axons branch and send collaterals all over the brain, and in some areas the receptors may be different and have unique postsynaptic effects. However in most neurons, the branching patterns are very specific, and in some cases very local. In the cerebral cortex for example, the axons of lower layer cells may turn upward and branch to synapse within a narrow cylinder about equivalent in width to a mini-column.

There is an important feature of the synapses in many brain areas, that is exceedingly difficult to study. Dendritic trees are "spiny", the synapses occur on tiny mushroom-shaped protrusions from the main dendritic branches. The second figure below shows dendritic spines along a dendritic tree. Each spine is a synapse. The third figure shows a freeze fracture electron micrograph of a synapse on a spine. The postsynaptic density is clearly visible.








Spiny synapses are ubiquitous in the human brain. Here they are in the hippocampus and cerebral cortex, and they occur as well in the basal ganglia and cerebellum and many other subcortical structures.






The synaptic spines are important for many reasons. One of the most important is isolation, which is necessary for synapses to be updated independently. Another reason is that each patch of spiny membrane can sustain independent subthreshold membrane oscillations. In effect, each spine can become its own oscillator, coupled to others by conductances along the membrane, but only weakly and controllably coupled because of the high impedance of the spine stalk and its biochemical compartmentation relative to the rest of the dendrite. We will revisit this scenario in more detail later, when we talk about the behavior of coupled oscillators. Below is the bursting behavior of a pyramidal neuron in the cerebral cortex, elicited by applying glutamate to the basal dendritic tree. You can see the small subthreshold membrane oscillations that occur even in the down state. These are often related to membrane resonances which in turn depend on the conductances and are therefore synaptically modifiable. Changes in the membrane time constant are one way to control the interval between spikes.




Synaptic activity results in excitatory and inhibitory postsynaptic currents. The time course of such currents could be anywhere from a millisecond to a second or more, depending on the kinetics of the underlying neurotransmission. There is typically a small delay associated with synaptic transmission, perhaps on the order of a millisecond or so.

Postsynaptic currents typically cause changes in the membrane potential, resulting in excitatory and inhibitory postsynaptic potentials (EPSPs and IPSPs). These interact along the surface of the dendrite, and in turn the various dendritic branches integrate into the cell soma, where they affect the membrane potential at the axon hillock. When this potential exceeds threshold, an action potential is generated and travels in both directions away from the axon hillock. When it travels down the axon, it eventually reaches the presynaptic terminals where it results in the release of neurotransmitter. When it travels backwards into the cell body and up through the dendrites, it interacts with calcium-driven dendritic mini-spikes and causes changes in the organization and behavior of postsynaptic receptors.




The effect of incoming EPSP's may change when the postsynaptic membrane is driven into a more excitable state. This is especially true for multistable neurons that have a judicious combination of conductances that allow them to maintain multiple resting potentials depending on the time course of activity. For instance there are "plateau potentials" that are larger than ordinary EPSP's, and these are thought to be created by calcium conductances in the dendrites. The plateau potentials can put the neuron cell body into a different resting state, where it responds differently to incoming synaptic signals. Below are some of the plateau potentials related to dendritic spiking activity in neostriatal medium spiny cells. The plateau potentials typically result in bursts of spiking. They are compared with ordinary EPSPs that may result in one or a few spikes. Plateau potentials are different from dendritic spikes. They represent a stable equilibrium state of the neuronal membrane, whereas spikes are unstable and transient. Note the lengthy time course of the plateau in the figure. Plateaus are thought to put the neuron into a high-transmission mode, where reliability and throughput are increased and bursting is likely.




Gap Junctions

In addition to the well known chemical synapses there are electrical synapses all over the brain, among neurons and among glia, and between neurons and glia. A gap junction is a low resistance electrical pathway between neighboring cells. Gap junctions are regulated dynamically, and the signaling delay through a gap junction can vary from nearly the membrane time constant, to much longer than a synaptic delay. Electrical transmission through a gap junction can be considerably faster than vesicular synaptic transmission, even on the order of microseconds rather than milliseconds. However typically there are diffusion effects related to geometry and transmission effects related to gap junction regulation, and the delay through a gap junction can reach 40 msec or more - which is slow compared to a 1 msec synapse but still within the generalized time frame of synaptic action. Gap junctions allow small molecules to pass, including ions and nutrients, and are important for homeostasis. (Goodenough & Paul 2009, Gansert et al 2008, Riol et al 2021)








An interesting property of some gap junctions, useful for computation, is that they are rectifying. Depolarizing signals (but not hyperpolarizing signals) preferentially travel in one direction only, and hyperpolarizing signals (but not depolarizing signals) preferentially travel in the other direction only. The classic example is the escape circuit in the crawfish (Furshpan and Potter 1959).

Gap junctions can form an electrical syncytium in a tissue where neighboring cells are connected. Such a syncytium can be restricted to a single cell type or several cell types, on the basis of which cells express gap junctions. This is a convenient way for a subpopulation of neurons to synchronize activity in the whole population. Several examples are known of electrical syncytia restricted to a specific kind of inhibitory neuron. There are also electrical syncytia in astrocytes, which are glial cells that wrap themselves around synapses. Astrocytes transmit electrical activity amongst themselves in the form of calcium waves that travel through the gap junctions.


Second Messengers

In many cases the postsynaptic receptor has downstream effects in addition to its immediate interactions with ion channels. In some cases there are no ion channels at all, and synaptic effects are carried downstream by "second messenger" molecules like cyclic AMP and cyclic GMP. In some cases there are both ion channels and second messengers. The general mechanism of a second messenger is shown in the figure. As a rule, second messengers are quite slow compared to ligand gated ion channels.




Generally, receptors can be classified into 4 broad types. There are ligand gated ion channels, G-protein coupled receptors, enzyme coupled receptors, and intracellular receptors. The ligand gated channels are what we've already discussed - when the neurotransmitter binds to the receptor the result is an opening or closing of one or more ion channels. The G-protein coupled receptors work differently, instead of altering an ion channel the result is an increase or decrease in the intracellular level of a "second messenger", frequently cyclic AMP (cAMP) or cyclic GMP (cGMP). The second messenger then has downstream effects, which may include a host of cytosolic and even nuclear interactions. In the third type of receptor (enzyme coupled), there is a direct action on intracellular proteins that control other processes (in other words, there is no second messenger between them). Such an action may include the binding or unbinding of a receptor from the cytoskeleton, thereby either locking it into place or leaving it free to diffuse in the membrane.



In the case of glutamate, the most common excitatory neurotransmitter in the brain, a single synapse may contain both ionotropic and metabotropic receptors, with different time courses and different actions. For example it is likely that the metabotropic receptors using second messengers regulate the ionotropic receptors, over time courses longer than the duration of an action potential. Most of the glutamate synapses in the brain are plastic, they exhibit a range of positive and negative changes in strength over time. We'll talk about plasticity separately (it's a lengthy topic).


Synaptic Web

In the synaptic cleft between the pre- and post-synaptic membranes is often found a "synaptic web" that includes adhesion molecules that hold receptors in place and serve as docking sites for synaptic vesicles. In general the molecules around a synapse include a presynaptic density (possibly related to docking sites for transmitter-filled vesicles), a postsynaptic density (possibly related to localized concentrations of neurotransmitter receptors), and a network of interconnected structures in the synaptic cleft itself. An example is shown in the figure.



(figure from Dosemeci et al 2016)


(figure from Dresbach et al 2008)


(figure from Leshchyns'ka and Sytnyk 2016)

In addition to the synaptic web there is usually a noticeable continuation of the post-synaptic density into microtubules that end near the endoplasmic reticulum, especially in spiny synapses.


Control of Transmitter Levels

Neurotransmitters are actively synthesized in the endoplasmic reticulum in the cell body of neurons, then packaged into vesicles in the Golgi apparatus, and transported down the axon to the synaptic terminals by an array of microtubules, where they are released by calcium-driven exocytosis. (Bentley and Banker 2016, Nakagawa 2024). This process is shown schematically in the figures.



(figure from Bentley and Banker 2016)



How does the cell regulate the amount of neurotransmitter that is available to be released? As shown above, transmitter-filled vesicles can come from two places, they can be freshly synthesized or they can be the product of recycling. The sum of these two sources results in a pool of available transmitter-filled vesicles in the synapse (you can see the pool of vesicles ready to be released in several of the electron micrographs above). Generally, the amount of transmitter packaged into a vesicle is constant, whereas the number of vesicles can vary. There is a condition of "synaptic exhaustion" where the production of vesicles can not keep up with the demand, and it is important to note that other molecules besides neurotransmitter (including mRNA) are transported in vesicles, so a condition of depletion will affect those concentrations as well. In some cases, especially in proximity to dendritic spines, there may be endoplasmic reticulum in the dendrites themselves, and it may contribute to local transmitter synthesis and especially to the local production of micro-RNA and specific proteins (Carvalhais et al 2026).

The proteins needed for transmitter reuptake ("transporters") are also synthesized in the cell body, and packaged into the vesicles along with the neurotransmitter. Generally proteins bud off the endoplasmic reticulum at ER exit sites and then enter tne trans-Golgi network, where they are segregated by destination. It is unknown how those destined for axon terminals are labeled. There is cargo recognition and sorting machinery in the Golgi apparatus, and post-translational modification that occurs prior to and during packaging. In some cases packaging can be directly affected by neuron firing, and this effect is thought to be mediated by calcium.

When the vesicle is ready to be transported down the axon, it already contains membrane bound transporter proteins as well as loose neurotransmitter. Vesicles are ratcheted down the cytoskeleton by a mechanism involving the "chemical motors" actin and dynein, and the protein tubulin. When they reach the end of the transport system they are released to enter the pool of loaded vesicles in the axon terminal. When an action potential arrives, pool vesicles are encouraged to merge with the presynaptic membrane and release their contents into the synaptic cleft. Vesicles fuse with a probability related to the calcium concentration, which in turn is related to synaptic depolarization.

After a neurotransmitter molecule has bound to its receptor, it may change shape and deactivate, or it may simply float away. There is often remnant neurotransmitter in the synaptic cleft from both pre-diffusion and post-diffusion, and to avoid excess buildup there are frequently reuptake mechanisms that collect un/used transmitter and package it back up into vesicles. In the case of glutamate, there is a phenomenon called "glutamate spillover" where there is so much neurotransmitter that it diffuses out of the synaptic cleft and enters the extracellular space. In this case astrocytes may get involved in cleanup, and there are also receptors on the stalks of dendritic spines that activate additional cleanup mechanisms.


Control of Receptor Levels and Positions

Neurotransmitter receptor levels are also carefully controlled throughout the brain. The strength, or "weight", of a synapse is determined by the ratio of neurotransmitter to postsynaptic effect. Many neurons have regulatory mechanisms that set the number of receptors, and the setpoint can vary with several types of synaptic plasticity. In particular, much is known about the various glutamate receptors in the brain (glutamate being the most prevalent excitatory neurotransmitter), and the ways they contribute to synaptic plasticity. The figure shows some varieties of glutamate receptors.




Generally in neurons there is control over receptor production (synthesis levels), receptor transport (the migration into synapses and spines), receptor location (in cooperation with the cytoskeleton), receptor binding (including postsynaptic effects like second messengers), and receptor release and degredation (possibly involving recycling, with or without vesicles, and possibly also involving glial cells that communicate with both the neuron and the extracellular milieu). One of the elementary motifs for receptor regulation is shown in the figure.



(figure from Shah et al 2010)

Neurotransmitter receptors are assembled in the endoplasmic reticulum of neurons, which can be found in dendrites as well as in the cell body. In dendrites, ER is often found near branch points and spines, both of which provide short paths to synapses. After production, the receptor (likely in the form of subunits, which may or may not be active yet) is inserted into the presynaptic membrane around the edges, and migrates into the region of the postsynaptic density, where it attaches itself to the cytoskeleton which anchors it in place. This process is shown in the figures relative to the synaptic densitites.



(figure from Scheefhals and MacGillavry 2018)


(figure from Petit-Pedrol & Groc 2020)

In addition to direct synaptic effects there may be indirect effects at the synapse, mediated by receptors and channels that reside on glial cells. Such interactions are common in tripartite synapses. An example of a tripartite synapse is shown in the figure.



(figure from Wright et al 2016)


(figure from Moghaddam and Javitt 2011)

In the synapse, embedded into the synaptic membranes on each side, are "micro-domains" or "nano-domains", consisting of pockets of receptors and vesicle docking sites. Newly synthesized or recycled receptors that enter the synaptic density along the sides, tend to migrate into the domains, increasing both the frequency of domains and their size. These have differential effects, as shown in the figure. The number of receptors, their placement, and their internal configurations can be controlled through synaptic plasticity.



(figure from Scheefhals and MacGillavry 2018)


(figure from Guzikowski and Kavalali 2021)

Plasticity and Modifiability

The transmission strength at a synapse can be modified in many ways. The traditional way of looking at this is in terms of a synaptic "weight", an ancient nomenclature that came out of the Perceptron era. Sometimes, the weights are modified on the basis of incoming data, and at other times, they are controlled by internal processes (like during sleep, when brain activity changes considerably). Plasticity can be achieved presynaptically, postsynaptically, or both - and it can also be achieved in conjunction with glial cells, especially at tripartite synapses.

In the past, plasticity has been rather arbitrarily divided into short-term and long-term, a grouping that was originally derived from the responses of synapses to electric shocks. While it is true that there are such clusters, it is more useful to describe the time course of plasticity in terms of one or more time constants. In the earlier grouping, the time scale of short term plasticity was deemed to be on the order of seconds to minutes, while the time scale of long term plasticity ranged from minutes to hours. This grouping is not necessarily helpful, because there are many time courses depending on the type of transmitter, the type of receptor, and the mechanism by which plasticity is accomplished.

In addition to the strength (weight) of the synapse, which could be regulated by factors like number of vesicles released by an action potential or number of receptors on the postsynaptic side, other parameters can also be modified through plasticity, and one of the most important of these is the time constants associated with the synapse. These become crucial in modeling, especially in rate-based models using Poisson and gamma statistics. The time constants change in relation to membrane potential, so it's not necessarily useful to look for static membrane properties, since these only obtain in the equilibrium (resting) state. When the required length of a time constant exceeds the delay that a direct process can provide, neurons have clever mechanisms for approximating longer delays, for examples there are "eligibility traces" in neurons in the hippocampus, that extend the usable range of plasticity from short term synaptic time frames (10 msec or so) to behavioral time frames (seconds to minutes). Some of these mechanisms may involve the glial processes that wrap themselves around synapses. Please keep in mind that any time we're talking about synapses, we're also talking about the associated glia. The neurons, synapses, and glia can interact in many ways.



Plasticity is a general term that describes dozens of very specific types of synaptic modifiability. These have different time courses, related to differing chemical kinetics and reaction rates. Historically, all the different kinds of plasticity depend on temporal correlations between the pre- and post-synaptic neurons. This is the Hebbian model, named after psychologist Donald Hebb (although he didn't invent it, it dates back to the middle 19th century). Hebbian plasticity may include ordinary adaptation, facilitation and depression, PTP, STP, STD, LTP, LTD, STDP, and a bewildering array of additional types of plasticity (please refer to the glossary for the definitions of these terms). We'll just introduce the concept of plasticity here, and discuss its various forms and their uses in more detail in a separate section.

The time window for Hebbian plasticity is narrow, it requires that the postsynaptic neuron fire at the same time the presynaptic neuron is sending it a signal. Typically this window is 10 msec or less. This is the "activation window", the plastic effects may last much longer. There is "short term plasticity" that has a time scale of msec to seconds, and "long term plasticity" that lasts for minutes to days. There is also "behavioral time scale plasticity" that falls somewhere in between, in the range of seconds to minutes. Orthogonal to the time axis is the type of plasticity, which can be depression, facilitation, potentiation, and various other forms that include spike timing dependence and possibly dependencies on extracellular field potentials and astrocyte activity. Some of the forms of short term plasticity are shown in the figure, and note the different time scales - all of these qualify as short term plasticity.




The time course of long term plasticity induced by a pairing protocol is shown in the next figure. Once again, please note the time courses.



(figure from Bannon et al 2016)

In addition to these unidirectional modifications there are also bidirectional modifications. For example in STDP (spike timing-dependent plasticity), the modification can be either potentiation or depression, depending on whether the presynaptic signal occurs before or after the postsynaptic spike. This form of plasticity is shown in the figure.



(figure from Bi & Poo 1998)

Spines and Spine Apparatus

The mechanisms of neurotransmission around a spiny synapse may be considerably more complicated than those around ordinary aspiny synapses. A molecular "spine apparatus" is often found in the neighborhood of dendritic spines, beginning with endoplasmic reticulum in the dendritic shaft that inserts into the spine stalk and attaches to the cytoskeleton. The spine apparatus changes size and shape, as does the spine itself. It is likely that the spine apparatus is involved in the local control of neurotransmission, including specifically receptor levels and postsynaptic plasticity.



(figure from Jasinska et al 2016)

Neuro-Modulation

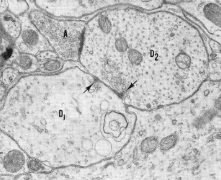
There are synapses from axons to dendrites, from dendrites to dendrites, and from axons to other axons. Many of these synapses don't alter the membrane potential directly, instead they control the transmission through another synapse, or another portion of the same synapse. These "modulators" are ubiquitous in the brain, and many of them are associated with well known transmitters like acetylcholine, dopamine, and serotonin. There are modulators that act at the level of the neuron, and modulators that act at the level of individual synapses. Axo-axonic synapses are examples of the latter, the outer synapse will typically modulate the activity of the inner synapse. The nature of the modulation can vary greatly. In some cases it is associated with underlying plasticity, but in many cases the effect of neuromodulation is temporary and short lived. The figures show an axodendritic synapse, an axo-axonic synapse, and a dendro-dendritic synapse. The axon terminals have plenty of vesicles, the dendrites don't.


     

Neuromodulation is affected by many of the same regulatory mechanisms that control synapses. For example one of the side effects of opiate addiction is "supersensitivity", where the amount of endogenous receptor has been down-regulated to accommodate the presence of the drug. Normally, endogenous opiates inhibit transmission through the pain pathways, by a variety of mechanisms including G-coupling to increase intracellular cGMP and a calcium mediated effect on an inwardly rectifying potassium conductance. Upon rebound, there are not enough receptors to support the resumption of normal inhibitory control over the pain pathways, and the results are unpleasant, until the proper setpoint can be achieved again, over the course of several days.


Next we'll take a look at some of the network behaviors that can be modified by synapses. Among the most important of these are rhythmic behaviors, which go beyond a simple algebraic manipulation of the weight matrix.


Next: Rhythmic Behavior

Back to Oculomotor System

Back to the Console


(c) 2026 Brian Castle
All Rights Reserved
webmaster@briancastle.com